Estados Unidos. - Un hombre de 52 años se llevó una noticia sorprendente cuando descubrió que lo que causaba sus fuertes dolores de cabeza no era una migraña.
De acuerdo a medios de Estados Unidos, la persona tenía larvas de lombrices solitarias en su cerebro.
Según los médicos, se habría infectado al comer tocino poco cocido.
Medios locales, señalan que el hombre, del que no se ha revelado su identidad, tenía cuatro meses con dolores fuertes de cabeza por lo que consultó con varios doctores.
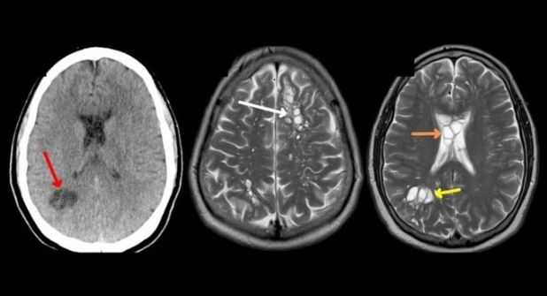
Cuando el afectado acudió a un hospital para someterse a pruebas, la tomografía computarizada reveló numerosos focos quísticos, o sea, sacos llenos de líquido en el cerebro.
Te podría interesar
Tras varias pruebas el hombre fue diagnosticado con neurocisticercosis.
Los médicos creen que el tocino poco cocido fue el causante de su mal, ya que el paciente no había viajado recientemente a zonas de alto riesgo.
“Sólo podemos especular, pero dada la predilección de nuestro paciente por la carne de cerdo poco cocinada y los antecedentes de exposición benigna, creemos que su cisticercosis pudo ser autoinfectada, tras un lavado de manos inadecuado y sus hábitos alimentarios”, concluyó el informe.
Tras su diagnóstico, el paciente fue tratado con antiparasitarios y antiinflamatorios, de manera exitosa ya que sus lesiones desaparecieron y sus dolores de cabeza mejoraron.
“Históricamente, ha sido muy poco frecuente encontrar carne de cerdo infectada en Estados Unidos, de manera que nuestro caso puede tener implicaciones para la salud pública”, agregó el informe.
¿Qué es la neurocisticercosis?
La neurocisticercosis ocurre cuando las larvas de la tenia del cerdo ingresan al sistema nervioso central, generalmente a través del consumo de alimentos o agua contaminados con heces de humanos infectados.
Una vez en el cerebro o la médula espinal, las larvas pueden formar quistes que causan una variedad de síntomas neurológicos, como convulsiones, dolores de cabeza, confusión, alteraciones en la visión, dificultades para caminar y pérdida del conocimiento, entre otros.
El tratamiento suele implicar medicamentos antiparasitarios para matar las larvas de la tenia, así como medicamentos para reducir la inflamación y controlar los síntomas.
